«Արմավիրի ԲԿ»–ն հանդես է եկել ծննդկանի մահվան հետ կապված պարզաբանմամբ (լուսանկար)
Վերջերս մամուլում տեղ են գտել մի շարք հրապարակումմներ՝ կապված ծննդկանի մահվան հետ, որում հատկապես մեղադրվում է «Արմավիրի ԲԿ»-ի բուժանձնակազմը: «Արմավիրի ԲԿ»–ից հանդես են եկել պարզաբանմամբ, որում մանրամասն ներկայացված է մահացածի բուժսպասարկման ընթացքը, ինչպես նաև ռենտգեն հետազոտության թաղանթի լուսանկարը: Այդ պարզաբանման մեջ ասվում է.
«Հիվանդ Արաքսյա Ռոբերտի Դանիելյանը ընդունվել է «Զարիշատ (Արամ) Մարտին Մկրտչյանի անվան Արմավիրի ԲԿ» ՓԲԸ հիվանդանոցի մանկաբարձական բաժանմունք 26.12.2015թ. ժամը 21:25-ին` գանգատվելով միայն ընդհանուր թուլությունից, ջերմության բարձրացումից՝ 39.4 աստիճան: Հղին հրաժարվել էր ստացիոնար բուժումից` խնդրելով, որ բուժումը նշանակվի տանը ստանալու:
Ստացիոնարում կատարվել է լաբորատոր օժանդակ հետազոտություն, հայտնաբերվել նաև անեմիա 2-րդ աստիճանի (հեմոգլոբին 80գ/լ): Հիվանդը կոնսուլտացիայի ենթարկվել է հերթապահ թերապևտի կողմից, ախտորոշվել` «Վերին շնչուղիների սուր ինֆեկցիա», կատարվել է դեղորայքային բուժում` ներերակային կաթիլային ներարկումներ դեզինտոքսիկացիայի նպատակով, որից հետո ջերմությունն իջել է 37.3 աստիճան:Թերապևտի կողմից նշանակվել է կատարել թոքերի ռենտգեն հետազոտություն, չնայած թոքերում խզզոցներ չի լսել: Հիվանդի վիճակը եղել է բավարար և հանգիստ քնել է: Ռենտգեն հետազոտություն չի կատարվել, քանի որ հղիների մոտ ռենտգեն հետազոտություն, նույնիսկ ֆլյուորոգրաֆիկ հետազոտություն կատարվում է խիստ անհրաժեշտության դեպքում:
27.12.2015թ-ին` կիրակի օրը, հիվանդը նոր գանգատներ չի ներկայացրել, վիճակը եղել է բավարար, պտղի սրտի բաբախումը եղել է նորմայի սահմաններում, պտղաջրերը` պահպանված: Դեզինտոքսիկացիոն և մնացած բուժումը շարունակվել է, և հրավիրվել թերապևտի կրկնակի կոնսուլտացիա:
Հերթապահ թերապևտի կողմից դարձյալ հիվանդի թոքերում խզզոցներ չեն լսվել, ջերմությունը եղել է 37.2 աստիճան, ռենտգեն հետազոտման կարիք չի գտել: Նշանակված բուժումը շարունակվել է, և հիվանդի վիճակը եղել է բավարար:
28.12.2015թ-ի առավոտյան համայցի ժամանակ հիվանդի վիճակը եղել է բավարար, ջերմությունը 37.4 աստիճան, և ինքը ցանկություն է հայտնել դուրս գրվել` պատճառաբանելով, որ տանն ունի ծայրահեղ ծանր վիճակում գտնվող մայր և փոքրահասակ երեխա:
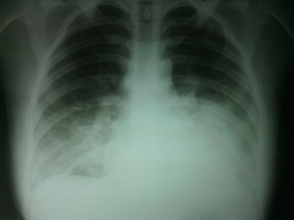
Բաժանմունքի վարիչը բացատրել է, որ այդ վիճակով դուրս գրվել չիկարող. անհրաժեշտ է կատարել ռենտգեն հետազոտություն, որից հետո որոշել դուրս գրման հարցը: Համայցից հետո հիվանդը ենթարկվել է ռենտգեն հետազոտության, որի ժամանակ հայտնաբերվել է թոքաբորբ: Կրկին կատարվել է թերապևտի կոնսուլտացիա, որը թոքերում լսել է թացխզոցներ, առավելապես՝ ձախից: Հիվանդին և նրա ամուսնուն բացատրվել է, որ կարիք կա հետագա բուժումը շարունակելու Երևանի 3-րդ կարգի մանկաբարձական բաժանմունքներից որևէ մեկում: Տրվել է ուղեգիր: Հիվանդի ամուսինը ցանկացել է իր մեքենայով տեղափոխել հիվանդին Երևան: Միաժամանակ նշենք, որ «Զարիշատ (Արամ) Մարտին Մկրտչյանի անվան Արմավիրի ԲԿ» ՓԲԸ մանկաբարձական բաժանմունքում հիվանդը մնացել է 39 ժամ, և Երևան գնալու պահին նրա վիճակը եղել է բավարար:
Հիվանդն ընդունվել է «Պերինատալոգիայի, մանկաբարձության և գինեկոլոգիայի ինստիտուտ» ԲԲԸ, որից հետո տեղափոխվել է «Սուրբ Գրիգոր Լուսավորիչ» ԲԿ և 31.12.2015թ-ին հղին ծննդալուծվել է կեսարյան հատումով: Այդ ժամանակահատվածում հիվանդի վիճակի մասին պարբերաբար տեղեկություն է ստացվել «Սուրբ Գրիգոր Լուսավորիչ» հիվանդանոցի վերակենդանացման բաժանմունքից:
Հղին մահացել է 13.01.2016թ-ին:
Կից տեղադրվում է նաև «Զարիշատ (Արամ) Մարտին Մկրտչյանի անվան Արմավիրի ԲԿ» ՓԲԸ-ում կատարված ռենտգեն նկարը:
«Արմավիրի ԲԿ»–ն հանդես է եկել ծննդկանի մահվան հետ կապված պարզաբանմամբ (լուսանկար)
Վերջերս մամուլում տեղ են գտել մի շարք հրապարակումմներ՝ կապված ծննդկանի մահվան հետ, որում հատկապես մեղադրվում է «Արմավիրի ԲԿ»-ի բուժանձնակազմը:
«Արմավիրի ԲԿ»–ից հանդես են եկել պարզաբանմամբ, որում մանրամասն ներկայացված է մահացածի բուժսպասարկման ընթացքը, ինչպես նաև ռենտգեն հետազոտության թաղանթի լուսանկարը: Այդ պարզաբանման մեջ ասվում է.
«Հիվանդ Արաքսյա Ռոբերտի Դանիելյանը ընդունվել է «Զարիշատ (Արամ) Մարտին Մկրտչյանի անվան Արմավիրի ԲԿ» ՓԲԸ հիվանդանոցի մանկաբարձական բաժանմունք 26.12.2015թ. ժամը 21:25-ին` գանգատվելով միայն ընդհանուր թուլությունից, ջերմության բարձրացումից՝ 39.4 աստիճան: Հղին հրաժարվել էր ստացիոնար բուժումից` խնդրելով, որ բուժումը նշանակվի տանը ստանալու:
Ստացիոնարում կատարվել է լաբորատոր օժանդակ հետազոտություն, հայտնաբերվել նաև անեմիա 2-րդ աստիճանի (հեմոգլոբին 80գ/լ): Հիվանդը կոնսուլտացիայի ենթարկվել է հերթապահ թերապևտի կողմից, ախտորոշվել` «Վերին շնչուղիների սուր ինֆեկցիա», կատարվել է դեղորայքային բուժում` ներերակային կաթիլային ներարկումներ դեզինտոքսիկացիայի նպատակով, որից հետո ջերմությունն իջել է 37.3 աստիճան: Թերապևտի կողմից նշանակվել է կատարել թոքերի ռենտգեն հետազոտություն, չնայած թոքերում խզզոցներ չի լսել: Հիվանդի վիճակը եղել է բավարար և հանգիստ քնել է: Ռենտգեն հետազոտություն չի կատարվել, քանի որ հղիների մոտ ռենտգեն հետազոտություն, նույնիսկ ֆլյուորոգրաֆիկ հետազոտություն կատարվում է խիստ անհրաժեշտության դեպքում:
27.12.2015թ-ին` կիրակի օրը, հիվանդը նոր գանգատներ չի ներկայացրել, վիճակը եղել է բավարար, պտղի սրտի բաբախումը եղել է նորմայի սահմաններում, պտղաջրերը` պահպանված: Դեզինտոքսիկացիոն և մնացած բուժումը շարունակվել է, և հրավիրվել թերապևտի կրկնակի կոնսուլտացիա:
Հերթապահ թերապևտի կողմից դարձյալ հիվանդի թոքերում խզզոցներ չեն լսվել, ջերմությունը եղել է 37.2 աստիճան, ռենտգեն հետազոտման կարիք չի գտել: Նշանակված բուժումը շարունակվել է, և հիվանդի վիճակը եղել է բավարար:
28.12.2015թ-ի առավոտյան համայցի ժամանակ հիվանդի վիճակը եղել է բավարար, ջերմությունը 37.4 աստիճան, և ինքը ցանկություն է հայտնել դուրս գրվել` պատճառաբանելով, որ տանն ունի ծայրահեղ ծանր վիճակում գտնվող մայր և փոքրահասակ երեխա:
Բաժանմունքի վարիչը բացատրել է, որ այդ վիճակով դուրս գրվել չիկարող. անհրաժեշտ է կատարել ռենտգեն հետազոտություն, որից հետո որոշել դուրս գրման հարցը: Համայցից հետո հիվանդը ենթարկվել է ռենտգեն հետազոտության, որի ժամանակ հայտնաբերվել է թոքաբորբ: Կրկին կատարվել է թերապևտի կոնսուլտացիա, որը թոքերում լսել է թացխզոցներ, առավելապես՝ ձախից: Հիվանդին և նրա ամուսնուն բացատրվել է, որ կարիք կա հետագա բուժումը շարունակելու Երևանի 3-րդ կարգի մանկաբարձական բաժանմունքներից որևէ մեկում: Տրվել է ուղեգիր: Հիվանդի ամուսինը ցանկացել է իր մեքենայով տեղափոխել հիվանդին Երևան: Միաժամանակ նշենք, որ «Զարիշատ (Արամ) Մարտին Մկրտչյանի անվան Արմավիրի ԲԿ» ՓԲԸ մանկաբարձական բաժանմունքում հիվանդը մնացել է 39 ժամ, և Երևան գնալու պահին նրա վիճակը եղել է բավարար:
Հիվանդն ընդունվել է «Պերինատալոգիայի, մանկաբարձության և գինեկոլոգիայի ինստիտուտ» ԲԲԸ, որից հետո տեղափոխվել է «Սուրբ Գրիգոր Լուսավորիչ» ԲԿ և 31.12.2015թ-ին հղին ծննդալուծվել է կեսարյան հատումով: Այդ ժամանակահատվածում հիվանդի վիճակի մասին պարբերաբար տեղեկություն է ստացվել «Սուրբ Գրիգոր Լուսավորիչ» հիվանդանոցի վերակենդանացման բաժանմունքից:
Հղին մահացել է 13.01.2016թ-ին:
Կից տեղադրվում է նաև «Զարիշատ (Արամ) Մարտին Մկրտչյանի անվան Արմավիրի ԲԿ» ՓԲԸ-ում կատարված ռենտգեն նկարը:
Արմավիր ԲԿ ՓԲԸ մանկաբարձա-
գինեկոլոգիական բաժանմունքի վարիչ` Դանիելբեկ Մ.
Արմավիր ԲԿ ՓԲԸ տնօրենի ժ/պ` Հայրապետյան Ա.